
Что подразумевается под словосочетанием панцирное сердце?


"Панцирное сердце" -- никакая не метафора, а самый что ни на есть настоящий медицинский термин.
Вы, конечно, слышали, что у стенки сердца есть несколько слоёв: внутренний -- эндокард, средний (и самый толстый) -- миокард, сердечная мышца и, условно говоря, наружный (окутывающий сердце) -- перикард. Каждый из этих слоёв может воспаляться, вместе и по отдельности. Воспаление наружного слоя называют перикардитом.
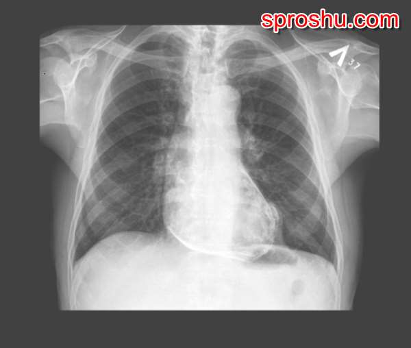
Перикардит бывает острый и хронический. Острый при своевременном лечении может быть благополучно вылечен. Но процесс может перейти в хроническую форму, перикард при этом постепенно утолщается, огрубевает, нередко в нём начинает откладываться кальций, и перикард может даже окостенеть. У сердца появляется "панцирь". Такое состояние и называется "панцирное сердце". Можете посмотреть, как это выглядит на рентгеновском снимке:

Понятно, что отложения кальция становятся очень хорошо на нём видны. Сердце при этом не может ни нормально расширяться и наполняться, сдавленное таким изменённым перикардом, ни сокращаться и выталкивать кровь в аорту (справедливости ради, работа сердца начинает нарушаться намного раньше, когда перикард изменяется под воздействием воспаления, но тогда эти изменения вполне вероятно обратимы).
Лечение, естественно, хирургическое, удаление "панциря".
автор вопроса выбрал этот ответ лучшим